Οι γιατροί σοκαρίστηκαν αφού βρήκαν 300 πέτρες στα νεφρά σε νέα γυναίκα

October 6, 2025
Οι γιατροί αιφνιδιάστηκαν όταν εντόπισαν 300 πέτρες στα νεφρά σε νεαρή γυναίκα

Οι γιατροί σοκαρίστηκαν αφού βρήκαν 300 πέτρες στα νεφρά σε νέα γυναίκα


Διαφ.

Μια συγκλονιστική ιατρική υπόθεση στην Ταϊβάν έχει τραβήξει την παγκόσμια προσοχή, δείχνοντας πώς οι σύγχρονες συνήθειες κατανάλωσης γλυκών ποτών μπορούν σιωπηλά να καταστρέψουν το σώμα.

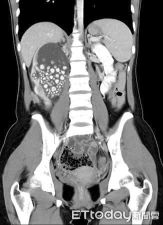
Μια 20χρονη γυναίκα, επισκέφθηκε το νοσοκομείο, νομίζοντας ότι έπασχε από απλό πυρετό και έντονους πόνους στη μέση. Αντί γι’ αυτό, οι γιατροί ανακάλυψαν πως το νεφρό της ήταν γεμάτο με περισσότερους από 300 πέτρες — τόσους πολλές, που ένας γιατρός το παρομοίασε με ταψιά γεμάτα μικρά ψωμάκια ατμού.

Δεν υπήρχε κάποια σπάνια ασθένεια ή γενετική διαταραχή πίσω από αυτό. Η αιτία ήταν κάτι ανησυχητικά συνηθισμένο: Η χρόνια συνήθειά της να πίνει αλκοόλ, χυμούς με πολύ ζάχαρη, ενεργειακά ποτά με ζάχαρη και bubble tea αντί για νερό. Τα νεφρά της, στερημένα από επαρκή ενυδάτωση, είχαν μετατραπεί σε εργοστάσιο με πέτρες

Από τον καθημερινό πόνο στη σοκαριστική διάγνωση

achieving

Η νεαρή γυναίκα άρχισε να νιώθει έντονη κόπωση, πυρετό και πόνους στη μέση. Οι γιατροί αρχικά υποψιάστηκαν λοίμωξη του ουροποιητικού ή φλεγμονή των νεφρών — καταστάσεις που αντιμετωπίζονται εύκολα. Όμως οι αξονικές και υπερηχογραφικές εξετάσεις αποκάλυψαν κάτι απίστευτο: το δεξί της νεφρό ήταν διογκωμένο και φραγμένο με εκατοντάδες πέτρες σαν μεγάλους κόκκους άμμου σχεδόν δύο εκατοστών.

Διαφ.

Οι περισσότεροι ασθενείς έχουν έναν ή δύο πέτρες. Η νεαρή αυτή γυναίκα είχε εκατοντάδες, που συσσωρεύονταν επί χρόνια λόγω αφυδάτωσης, μέχρι που το σώμα της κατέρρευσε. Οι πέτρες είχαν μπλοκάρει το σύστημα διήθησης των νεφρών, προκαλώντας λοίμωξη και πυρετό.

Διαφ.

cl

Διαφ.

Όταν οι γιατροί τη ρώτησαν για τον τρόπο ζωής της, παραδέχθηκε ότι σχεδόν ποτέ δεν έπινε καθαρό νερό. Το καθημερινό της πρόγραμμα περιελάμβανε αλκοόλ, χυμούς με πολύ ζάχαρη και bubble tea — ροφήματα που φαίνονταν αθώα αλλά προκαλούσαν σοβαρή αφυδάτωση. Χωρίς αρκετό νερό για να αραιωθούν τα άλατα των ούρων, τα μέταλλα άρχισαν να κρυσταλλώνονται και να σχηματίζουν λίθους. Αυτό που έμοιαζε ένα ξαφνικό πρόβλημα, ήταν στην πραγματικότητα αποτέλεσμα ετών κακών συνηθειών.

Διαφ.

Η παγίδα των γλυκών ροφημάτων

shutterstock

Διαφ.

Το bubble tea, ένα από τα αγαπημένα ροφήματα παγκοσμίως και είναι μια νέα μόδα που βλέπουμε παντού νέα καταστήματα, έχει γίνει παγκόσμιο φαινόμενο από τη δημιουργία του στην Ταϊβάν τη δεκαετία του 1980. Η πολύχρωμη εμφάνισή του και οι αμέτρητες γεύσεις του το έχουν μετατρέψει σε σύμβολο lifestyle στην Ασία, την Ευρώπη και τη Βόρεια Αμερική και στην Ελλάδα βλέπουμε πολλά καταστήματα να ανοίγουν το ένα μετά το άλλο. Πίσω όμως από την χαρούμενη εικόνα του κρύβεται μια σοβαρή προειδοποίηση για την υγεία.

Μια τυπική μερίδα περιέχει περίπου οκτώ κουταλάκια του γλυκού ζάχαρη, ποσότητα πολύ πάνω από τα όρια που συνιστά ο Παγκόσμιος Οργανισμός Υγείας. Αν προστεθούν και τα σιροπιασμένα μαργαριτάρια ταπιόκας και τα κρεμώδη έξτρα από πάνω, οι θερμίδες εκτοξεύονται.

Αντικαθιστώντας το νερό με τέτοια ροφήματα, η νεαρή γυναίκα κατανάλωνε τεράστιες ποσότητες ζάχαρης ενώ στέρησε το σώμα της από ενυδάτωση. Ακόμα και ο φυσικός χυμός, που συχνά θεωρείται υγιεινός, περιέχει συμπυκνωμένα σάκχαρα που επιβαρύνουν τα νεφρά όταν καταναλώνονται υπερβολικά. Το αλκοόλ, άλλο βασικό στοιχείο της καθημερινότητάς της, επιδείνωνε την αφυδάτωση προκαλώντας απώλεια υγρών.

Οι ειδικοί επισημαίνουν ότι η υπόθεση της είναι ακραία αλλά όχι μοναδική. Σε όλο τον κόσμο, η κατανάλωση ζαχαρούχων ποτών συνδέεται με παχυσαρκία, διαβήτη τύπου 2 και αυξανόμενα περιστατικά νεφρολιθίασης. Σύμφωνα με το Εθνικό Ίδρυμα Νεφρών, ένας στους δέκα ανθρώπους θα παρουσιάσει πέτρες στα νεφρά κάποια στιγμή στη ζωή του — ποσοστό που αυξάνεται όσο το νερό αντικαθίσταται από ζαχαρούχα ροφήματα.

Η επέμβαση και το μήνυμα αφύπνισης

Οι χειρουργοί του νοσοκομείου πραγματοποίησαν περκοτανοσκοπική νεφρολιθοτομή, μια ελάχιστα επεμβατική διαδικασία μέσω μικρής τομής στην πλάτη. Σε διάρκεια περίπου δύο ωρών, αφαίρεσαν περισσότερους από 300 πέτρες γεμίζοντας πολλούς ιατρικούς δίσκους.

d7385542

Oι πέτρες που αφαιρέθηκαν από τα νεφρά της νεαρής κοπέλας

Μετά την επέμβαση, η νεαρή ανάρρωσε γρήγορα. Ο πυρετός υποχώρησε, ο πόνος μειώθηκε και πήρε εξιτήριο μέσα σε λίγες ημέρες. Ο ουρολόγος της χαρακτήρισε την περίπτωσή της ως μία από τις πιο σοβαρές που έχει δει ποτέ, χρησιμοποιώντας την ως μάθημα για τη σημασία της ενυδάτωσης.

d7385546

H ακτινογραφία με τις πέτρες πάνω αριστερά

Χωρίς την επέμβαση, η νεαρή κοιπέλα θα μπορούσε να είχε υποστεί σήψη, νεφρική ανεπάρκεια ή ακόμη και θάνατο. Η περίπτωσή της αποδεικνύει πόσο ανθεκτικό —αλλά και πόσο ευάλωτο— μπορεί να είναι το ανθρώπινο σώμα απέναντι στις καθημερινές κακές συνήθειες.

Η επιστήμη πίσω από τις πέτρες

kidney

Ο κύριος ρόλος των νεφρών είναι να φιλτράρουν τα απόβλητα από το αίμα και να διατηρούν τη σωστή ισορροπία υγρών. Όταν δεν υπάρχει αρκετό νερό, τα ούρα συμπυκνώνονται, επιτρέποντας σε μέταλλα όπως το ασβέστιο και τα οξαλικά να κρυσταλλωθούν. Με τον καιρό, οι κρύσταλλοι αυτοί ενώνονται σχηματίζοντας λίθους.

Τα συμπτώματα ξεκινούν συχνά με έντονο πόνο που ακτινοβολεί από τη μέση ως τη βουβωνική χώρα, πυρετό, ναυτία και αίμα στα ούρα — σημάδια ότι το σύστημα διήθησης έχει μπλοκάρει. Ο πυρετός της Σιάο Γιου ήταν ένδειξη λοίμωξης που, χωρίς άμεση επέμβαση, θα μπορούσε να αποβεί θανατηφόρα.

Αν και η περίπτωσή της ήταν ακραία, η βιολογία πίσω της είναι απλή.

Τα μαθήματα από την υπόθεση της νεαρής κοπέλας

081524

Η ιστορία της αναδεικνύει ένα τόσο απλό αλλά συχνά ξεχασμένο μήνυμα: το νερό είναι απαραίτητο για τη ζωή.

Τα γλυκά ροφήματα μπορεί να είναι ευχάριστα, αλλά ποτέ δεν μπορούν να αντικαταστήσουν το νερό.

Για να προστατέψετε τα νεφρά σας:

  • Πίνετε τουλάχιστον 2 λίτρα νερό την ημέρα, περισσότερο σε ζεστά κλίματα ή μετά από άσκηση.

  • Αντιμετωπίζετε τα αναψυκτικά, τα ενεργειακά ποτά και το bubble tea ως περιστασιακές απολαύσεις, όχι καθημερινές συνήθειες.

  • Ακολουθείτε ισορροπημένη διατροφή με μέτρια πρωτεΐνη και χαμηλό νάτριο.

  • Περιορίστε το αλκοόλ και την καφεΐνη, και καταναλώστε τροφές πλούσιες σε νερό όπως φρούτα και λαχανικά.

  • Κάνετε τακτικές ιατρικές εξετάσεις αν έχετε προδιάθεση για προβλήματα στα νεφρά.

Ένα παγκόσμιο μήνυμα

Η υπόθεση της νεαρής έχει προκαλέσει τεράστια συζήτηση στα μέσα κοινωνικής δικτύωσης σχετικά με την ενυδάτωση και την υγεία. Αντικατοπτρίζει έναν παγκόσμιο αγώνα ανάμεσα στην παράδοση, τον σύγχρονο καταναλωτισμό και την ευεξία.

Η εμπειρία της είναι μια ζωντανή υπενθύμιση ότι ακόμα και οι πιο μικρές, καθημερινές επιλογές μπορούν να καθορίσουν την υγεία μας.

Το νερό μπορεί να μην είναι εντυπωσιακό ή μοντέρνο — αλλά παραμένει ο πιο απλός και ζωτικός σύμμαχος της ζωής.


Πηγή

Διαβάστε επίσης: