
Γεώργιος Παπανικολάου: Ο άνθρωπος που όλες οι γuναίκες οφεiλουν εuγνωμοσύνη
Δεν είναι η επάρατη νόσος. Ο καρκίνος έχει όνομα και με το όνομά του πρέπει να αντιμετωπίζεται. Ο άνθρωπος που αφιέρωσε τη ζωή του προσπαθώντας να πείσει για την παραπάνω διαπίστωση είναι άνδρας. Ένας γιατρός στον οποίο όλες οι γυναίκες ανά τον κόσμο οφείλουμε αιώνια ευγνωμοσύνη.
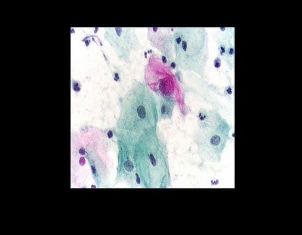
Ο Γεώργιος Παπανικολάου εφευρέτης του διάσημου Pap Test πάλεψε για να βρει τη λύση. Πέρασε χιλιάδες ώρες μπροστά από ένα μικροσκόπιο και τελικά θεμελίωσε τον τομέα της πρόληψης για τον καρκίνο του τραχήλου της μήτρας.

Η παρατήρηση του κολπικού επιχρίσματος και η εύρεση σε αυτό ατύπων κυττάρων, που αποπίπτουν από το νεόπλασμα του τραχήλου της μήτρας, τον οδήγησαν στην ανακάλυψη του Pap Test. Μια ανακάλυψη που άλλαξε αποφασιστικά τον μέχρι τότε τρόπο αντιμετώπισης του καρκίνου.
Πρόκειται για τη σημαντικότερη ανακάλυψη του 20ου αιώνα για τον καρκίνο καθώς σώζει το 70% των γυναικών παγκοσμίως από νεοπλασίες του τραχήλου της μήτρας εντοπίζοντάς τες σε αρχικό στάδιο. Πλήρως ιάσιμος καρκίνος. Ο σημαντικότερος άνδρας όλων των εποχών είναι Έλληνας και είναι ο Γεώργιος Παπανικολάου.
Και μόνο η σκέψη του επιτεύγματός του προκαλεί ανατριχίλα. Να σκέφτεσαι πως κάθε γυναίκα μπορεί να σωθεί χάρη στο έργο, την αφοσίωση και την πίστη του.
Όπως αναφέρει η Μαρία Χούκλη στο αφιέρωμα ”Μεγάλοι Έλληνες” η ζωή του Παπανικολάου ήταν μία σειρά από επώδυνες απελευθερώσεις ή αποκοπές. Απελευθερώνεται από τον τόπο που μεγαλώνει, από την οικογένεια, την Ελλάδα, τον πρώτο του έρωτα και φεύγει μακριά. Η μοίρα του τον κατευθύνει και ορίζει τα βήματά του. Γεννήθηκε μεγάλος με μία αόρατη εντολή να υπηρετήσει την έρευνα και να δοθεί ολοκληρωτικά στη σωτηρία των γυναικών.
Ο Γεώργιος Παπανικολάου γεννιέται στις 13 Μαΐου του 1883 στην Κύμη της Εύβοιας σε μία αστική οικογένεια. Σε ένα πέτρινο σπίτι κάτω από την κεντρική πλατεία, που θα πάρει το όνομά του, μεγαλώνει μαζί με τους γονείς και τα δύο αδέρφια του. Είναι το τρίτο παιδί του Νικολάου Παπανικολάου και της Μαρίας Κριτσούτα. Ο πατέρας του ήταν επίσης γιατρός, ενώ διετέλεσε δήμαρχος Κύμης και βουλευτής Ευβοίας με το κόμμα του Χαρίλαου Τρικούπη.

Παίζει βιολί, διαβάζει λογοτεχνία και κάθε Κυριακή ψέλνει στην εκκλησία. Αγαπά τις βόλτες δίπλα στη θάλασσα αλλά και τα μονοπάτια μέσα στο πράσινο.
Ο μικρός Γιώργος είναι ένα ευαίσθητο παιδί που ακούει πάντα με προσοχή τον αυστηρό και απόμακρο πατέρα του. ”Το πρόσωπό σου είναι σαν χάρτης από τις γραμμές των δακρύων” θα τον ακούει να του λέει πολλές φορές ενώ εκείνος αγναντεύει το Αιγαίο από τα μεγάλα παράθυρα του σπιτιού του.

Τελειώνει το δημοτικό και οι γονείς του τον στέλνουν στην Αθήνα για ολοκληρώσει τις εγκύκλιες σπουδές του. Το 1898 είναι 15 ετών. Μένει σε ένα διαμέρισμα στην οδό Βαλτετσίου στο νούμερο 49. Μπαίνει στην Ιατρική Σχολή του Πανεπιστημίου Αθηνών και αποφοιτεί με άριστα το 1904, σε ηλικία μόλις 21 ετών.

Μελετά φιλοσοφία και ο γερμανοτραφής νονός του τον μυεί στους Γερμανούς φιλοσόφους. Γκαίτε, Καντ, Σοπενχάουερ και φυσικά Νίτσε. Με ένα βιβλίο του στο χέρι πηγαίνει παντού. Είναι αυτός που θα του δώσει δύναμη όταν οι πρώτες οικονομικές δυσκολίες θα κάνουν την εμφάνισή τους.
”Ο άνθρωπος πρέπει να ξεπερνά τις αδυναμίες του” είχε διαβάσει σε κάποιο από τα πολλά βιβλία του αγαπημένου του Νίτσε. Είναι αποφασισμένος να αντέξει.
Τα καλοκαίρια γυρνά στην Κύμη, στην Κύμη του. Η οικογένεια και οι φίλοι τον περιμένουν αλλά μέσα του κάτι έχει αλλάξει. Προτιμά την απομόνωση και το διάβασμα. Η θάλασσα τον τραβά σαν μαγνήτης. ‘’Θέλω να δαμάσω τον φόβο μου’’ θα πει στον πατέρα του όταν θα του απαγορεύσει να πηγαίνει στο Σουτσίνι, στην αποικία των λεπρών, για να τους δώσει φαγητό.
Ο πατέρας του τού γράφει να γυρίσει στην Κύμη και να γίνει στρατιωτικός γιατρός. Οι οικονομικές δυσχέρειες για λίγο φαίνονται να τον καταβάλλουν. Μετά από σκέψη απορρίπτει την πρόταση και στέλνει γράμμα στο σπίτι του. ”Όχι δεν θέλω γίνω στρατιωτικός γιατρός. Θέλω να μείνω ελεύθερος, να αισθανθώ την χαρά που δίνει ο αγών της ζωής. Εμένα δεν με τρομάζει το πέλαγος. Θέλω την ελευθερία μου, την γλυκιά μου ελευθερία”.

Παρά τα προβλήματα ο πατέρας του ξέρει πως ο γιος του μπορεί να καταφέρει πολλά. Χαλάει και τις τελευταίες οικονομίες του και τον στέλνει το 1907 στη Γερμανία, για ανώτερες σπουδές.
Μία υποσυνείδητη ζυγαριά γέρνει προς την πλευρά της φιλοσοφίας. ”Δεν είμαι πλέον ονειροπόλος. Η επιστήμη με άρπαξε από τα χέρια του Νίτσε. Πατώ απάνω σε έδαφος στερεό” γράφει στον πατέρα του όταν πια η Βιολογία θα τον κερδίσει. Η έρευνα γίνεται στόχος ζωής που υπερβαίνει τα πάντα, τους πάντες, ακόμα και τον ίδιο του τον εαυτό.
Ο Παπανικολάου επιλέγει τον κλάδο της Βιολογίας. Μεταβαίνει στην Ιένα, που ήταν ο πρώτος σταθμός της μετεκπαίδευσής του. Εκεί θα παρακολουθήσει τα μαθήματα του καθηγητή Ερνέστου Χαίκελ. Το 1908 συνεχίζει τις σπουδές του στο Φρέιμπουργκ και τέλος στο Μόναχο στο Ζωολογικό Ινστιτούτο, με μεγάλους καθηγητές της εποχής: Χέρτβιγκ και Βάισμαν. Το 1910 θα κάνει τη διδακτορική διατριβή του με τίτλο ”Περί των όρων της φυλετικής διαφοροποίησης των Δαφνιδών”.
Η πραγματικότητα παρουσιάζεται γυμνή μπροστά τα μάτια του. Μία φωνή μέσα του λέει να προχωρήσει. Πάντα την άκουγε, πάντα του μιλούσε.
Όλοι στην Κύμη περιμένουν να επιστρέψει για να παντρευτεί την Κούλα, τον παιδικό του έρωτα. Όταν εκείνος κάποτε της ζητά να διαλέξει ή εκείνον ή το σπίτι της εκείνη κάνει την επιλογή της. Στις 15 Σεπτεμβρίου 1910 παντρεύεται την Ανδρομάχη Μαυρογένη, κόρη στρατιωτικού και απόγονο της Μαντώς Μαυρογένους.

Η γυναίκα του, που του συμπαραστάθηκε μέχρι το τέλος, τον βοηθούσε στις έρευνές του. Είναι γνωστό πως ο Παπανικολάου έπαιρνε δείγματα κολπικού επιχρίσματος από εκείνη για 32 χρόνια. Εκείνη δεν υπέγραψε ποτέ ερευνητικό άρθρο. Του αφοσιώθηκε σε τέτοιο βαθμό που αποφάσισε να μην κάνει παιδιά για να είναι 24 ώρες το 24ώρο δίπλα του.
”Δεν μετάνιωσα ποτέ για την επιλογή μου” θα πει η Μάχη σε συνέντευξή της μετά το θάνατο του Παπανικολάου. Μέχρι το 1982, όταν και θα αφήσει την τελευταία της πνοή, θα συνεχίσει το έργο του άνδρας απρόσκοπτα.
Τον ενθάρρυνα, δεν τον συμβούλευα γιατί το φεγγάρι δε δίνει φως στον ήλιο μόνο παίρνει από αυτό
Η κοινή τους πορεία στην Αμερική του 1913 είναι βασανιστική. Ο μεγάλος γιατρός είναι ένας οικονομικός μετανάστης όπως χιλιάδες άλλοι. Το πορτοφόλι τους είναι άδειο για αυτό και αναγκάζονται και οι δύο να γίνουν υπάλληλοι σε εμπορικό κατάστημα.
Ο Παπανικολάου πουλάει χαλιά και η Μάχη ράβει κουμπιά για 5 δολάρια την εβδομάδα. Παράλληλα δουλεύει ως δημοσιογράφος στην ελληνική εφημερίδα Ατλαντίς και παίζει βιολί τα βράδια σε μαγαζιά μέχρι να κερδίσει μία θέση στο Εργαστήριο Ανατομικής του Πανεπιστημίου Κολούμπια και αργότερα, μια θέση στο Πανεπιστήμιο Κορνέλ της Νέας Υόρκης.

Για πρώτη φορά είναι ευχαριστημένος. Η έρευνα είναι η ψυχή της προόδου και το μικροσκόπιο ο Δούρειος Ίππος του. Πρώτη ανάθεση η τοξικότητα του αλκοόλ πάνω στα ινδικά χειρίδια.
Αναζητά αν τα κατώτερα θηλαστικά έχουν περιοδικό κύκλο όπως τα ανώτερα. Παίρνει κολπικό επίχρισμα και ανακαλύπτει πως έχουν. Η μελέτη δημοσιεύεται το 1917 στο περιοδικό Sience. Σκέπτεται να εφαρμόσει τη μέθοδο με το κολπικό επίχρισμα και σε γυναίκες.
”Η πρώτη παρατήρηση καρκινικών κυττάρων ήταν από τις τρομακτικότερες εμπειρίες της επιστημονικής μου καριέρας. Τα καρκινικά κύτταρα που είδα στο κολπικά επιχρίσματα ήταν τόσο αξιοπερίεργα που δεν ήταν δυνατόν να μην τα παρατηρήσει κανείς”. Το 1928 δημοσιεύεται η εργασία του ”Η διάγνωση του καρκίνου”.

Αμφισβητείται και χλευάζεται από συναδέλφους του. Για πολλούς ήταν ο Έλληνας παραμυθάς που πίστευε πως θα νικήσει τον καρκίνο. Κι όμως. Το μικροσκόπιό του δεν έλεγε παραμύθια. Ο Παπανικολάου είχε δει αυτό που όλοι οι υπόλοιποι δεν έβλεπαν.
Οι έρευνες του Παπανικολάου επεκτάθηκαν στη συνέχεια στις κυτταρολογικές αλλοιώσεις στο καρκίνο του αυχένα της μήτρας και του ενδομητρίου, των οποίων τα πορίσματα δημοσίευσε το 1943 από κοινού μετά του καθηγητή γυναικολογίας Έρμπερτ Τράουστ σε ειδική μονογραφία υπό τον τίτλο ”Διάγνωσις του καρκίνου της μήτρας μέσω των κολπικών επιχρισμάτων”.

Η δημοσίευση της εργασίας κέντρισε το παγκόσμιο ιατρικό ενδιαφέρον και προκάλεσε την άμεση δοκιμαστική χρησιμοποίηση της μεθόδου σε διάφορα νοσοκομεία. Το 1944 έγινε η πρώτη εφαρμογή επί του ουροποιητικού συστήματος και στη συνέχεια επί του πεπτικού και άλλων συστημάτων του οργανισμού. Το 1950 το Pap Test εδραιώνεται ως αποδεκτή μέθοδος σε όλο τον κόσμο.
Επιτυχίες, βραβεία, διαλέξεις, ανέλιξη στην πανεπιστημιακή βαθμίδα κι όμως κάτι του λείπει. Η πατρίδα του δε βγαίνει από το μυαλό του. Στο σπίτι του στο Long Island έχει φυτέψει μία συκιά και κάθε χειμώνα την σκεπάζει σαν μωρό για να μην καεί από το κρύο. Μαθαίνει πως στο Σικάγο μένει ένας μουσικός από την Κύμη. Τον καλεί και του ζητά να του παίξει τα Κουμιώτικα από το τηλέφωνο. Ο νόστος είναι δυνατός.
Θέλει να γυρίσει και να χτίσει το ερευνητικό του κέντρο στην Ελλάδα. Η επιστροφή είναι το όνειρο, ο διακαής πόθος, η επιθυμία.

Επιστρέφει. Είναι ήρωας. Έφυγε 30 ετών και τώρα πια είναι 73. Το μπαλκόνι του Αιγαίου τον περιμένει για ακόμη μία φορά. Ζητά η άφιξή του να μείνει μυστική, όμως το νέο μαθαίνεται γρήγορα.
Όλοι θέλουν να του σφίξουν το χέρι, να τον δουν από κοντά, να του χτυπήσουν τον ώμο και να του πουν πως τους έκανε περήφανους. Ο γιατρός γύρισε σπίτι του. Για λίγο.

Πάλι πίσω στην Αμερική. Το 1961 δέχτηκε να αναλάβει την διεύθυνση ενός Ινστιτούτου Έρευνας για τον Καρκίνο στο Μαϊάμι, της Φλόριντας, στο οποίο και δίνεται το όνομά του. ”Papanicolaou Cancer Research Institute”. Ο Παπανικολάου μαζί με τη Μάχη εγκαθίσταται εκεί τον Νοέμβριο του 1961.
Στις 18 Φεβρουαρίου 1962 έντονοι πόνοι στο στήθος αναγκάζουν την Μάχη να καλέσει γιατρό στο σπίτι. ”Δεν αισθάνομαι καλύτερα”. Τα ξημερώματα της επόμενης οι λέξεις πέφτουν βαριές. Καρδιακή προσβολή.
Στο κήπο του Πανεπιστήμιο του Κορνέλ φυτεύεται ένα πλατάνι, από το ιστορικό δέντρο του Ιπποκράτη στην Κω και προς τιμήν του ορκίζονται στη σκιά του οι νέοι γιατροί.

Ο Παπανικολάου δεν πούλησε ποτέ την “πατέντα” της ανακάλυψης του. Την προσέφερε στην ανθρωπότητα ολόκληρη, αφιλοκερδώς. Κρατά τον όρκο του, την υπόσχεση που έδωσε όλες τις γυναίκες.
Ο Γεώργιος Παπανικολάου γεννήθηκε για να χαρίσει ζωή στις γυναίκες ολόκληρου του κόσμου.
Δείτε ένα αφιέρωμα στη ζωή του Γεώργιου Παπανικολάου από την εκπομπή “Η μηχανή του χρόνου”
Πηγή